Lompat ke konten Lompat ke sidebar Lompat ke footer

Large Granular Lymphocyte Syndrome

Large Granular Lymphocytic Leukemia Ask Hematologist Understand Hematology

Large Granular Lymphocytic Leukemia Ask Hematologist Understand Hematology

Large granular lymphocyte syndrome. As a result their clinical implications remain largely unknown. The large granular lymphocytes may occur in. T- cell large granular lymphocyte leukemia is a rare cancer of a type of white blood cells called lymphocytes.

Notwithstanding these autoimmune conditions have not been comprehensively characterized or systematized to date. They may be either T cells T-LGL the more common type or natural killer cells NK-LGL. A common pathogenetic link between LGL leukemia and RA is proposed.

We here described the main characteristics and outcome of 9 patients presenting LGL proliferation in the context of pSS. Large granular lymphocyte LGL leukemia is characterized by a clonal proliferation of LGLs. The spectrum of large granular lymphocyte leukemia and Feltys syndrome RA-associated T-cell LGL leukemia and articular manifestations of typical Feltys syndrome are not distinguishable.

80521-525 EXPANSION OF LARGE GRANULAR LYMPHOCYTE SUBSETS IN WISKOTT-ALDRICH SYNDROME Alessandro Plebani Paolo Airò Duilio Brugnoni Morena Lebowitz Roberto Cattaneo Virginia Monafo Antonella Meini Luigi D. Unlike most forms of leukemia the pattern of bone marrow infiltration in TLGL may be subtle and the cytopenias are often lineage specific with neutropenia dominating. Gaslini Università degli Studi di Genova.

To assess whether the HLADR4 association found in rheumatoid arthritis RA is also seen in the large granular lymphocyte LGL syndrome. Large granular lymphocyte LGL leukemia features a group of indolent lymphoproliferative diseases that display a strong association with various autoimmune conditions. Large granular lymphocyte leukemia LGL is a lymphoproliferative disorder marked by clonal expansion of large granular lymphocytes usually T.

Due to the lack of a single unique genetic or phenotypic feature and clinicopathological overlap between reactive and neoplastic entities accurate LGL syndrome. Transient Large Granular Lymphocytosis is a short-term increase in large granular lymphocyte numbers usually less than 6 months that may be seen in association with a variety of conditions including viral infections autoimmune disorders and non-lymphoid malignancies. Short report Haematologica 1995.

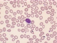
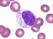
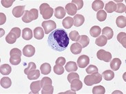
LGLs comprise 5 percent of the population of peripheral blood mononuclear cells are larger than most circulating lymphocytes and have characteristic azurophilic granules containing acid hydrolases picture 1. Large granular lymphocyte LGL syndrome comprises a clonal spectrum of T-cell and natural killer NK-cell LGL lymphoproliferative disorders associated with neutropenia.

Large Granular Lymphocyte Disorders New Etiopathogenetic Clues As A Rationale For Innovative Therapeutic Approaches Haematologica

Large Granular Lymphocyte Disorders New Etiopathogenetic Clues As A Rationale For Innovative Therapeutic Approaches Haematologica

T Cell Large Granular Lymphocytic Leukaemia In The Context Of Rheumatoid Arthritis The Lancet

T Cell Large Granular Lymphocytic Leukaemia In The Context Of Rheumatoid Arthritis The Lancet

Large Granular Lymphocyte

Large Granular Lymphocyte

What Is Large Granular Lymphocytic Leukemia Lgll

What Is Large Granular Lymphocytic Leukemia Lgll

Large Granular Lymphocyte Leukemia Springerlink

Large Granular Lymphocyte Leukemia Springerlink

Large Granular Lymphocyte An Overview Sciencedirect Topics

Large Granular Lymphocyte An Overview Sciencedirect Topics

Typical Large Granular Lymphocyte Morphology As Detected In A Clpd Nk Download Scientific Diagram

Typical Large Granular Lymphocyte Morphology As Detected In A Clpd Nk Download Scientific Diagram

Concomitant Acute Myeloid Leukemia And Large Granular Lymphocytic Leukemia In A Patient With Fevers

Concomitant Acute Myeloid Leukemia And Large Granular Lymphocytic Leukemia In A Patient With Fevers

Large Granular Lymphocytic Leukemia Coexists With Myeloid Clones And Myelodysplastic Syndrome Leukemia

Large Granular Lymphocytic Leukemia Coexists With Myeloid Clones And Myelodysplastic Syndrome Leukemia

T Cell Large Granular Leukemia Lgl Flow Cytometry

T Cell Large Granular Leukemia Lgl Flow Cytometry

Pathology Outlines T Cell Large Granular Lymphocytic Leukemia

Pathology Outlines T Cell Large Granular Lymphocytic Leukemia

Large Granular Lymphocytic Leukaemia Tidsskrift For Den Norske Legeforening

Large Granular Lymphocytic Leukaemia Tidsskrift For Den Norske Legeforening

Large Granular Lymphocytic Leukemia An Overview Sciencedirect Topics

Large Granular Lymphocytic Leukemia An Overview Sciencedirect Topics

When A Bruise Is More Than A Bruise Consult Qd

When A Bruise Is More Than A Bruise Consult Qd

Figure 1 From T Cell Large Granular Lymphocytic Lgl Leukemia Consists Of Cd4 Cd8dim And Cd4 Cd8 Lgl Populations In Association With Immune Thrombocytopenia Autoimmune Neutropenia And Monoclonal B Cell Lymphocytosis Semantic Scholar

Figure 1 From T Cell Large Granular Lymphocytic Lgl Leukemia Consists Of Cd4 Cd8dim And Cd4 Cd8 Lgl Populations In Association With Immune Thrombocytopenia Autoimmune Neutropenia And Monoclonal B Cell Lymphocytosis Semantic Scholar

Hematologyoutlines Atlas

Hematologyoutlines Atlas

Mgg Staining Of A Large Granular Lymphocyte In Peripheral Blood Download Scientific Diagram

Mgg Staining Of A Large Granular Lymphocyte In Peripheral Blood Download Scientific Diagram

Large Granular Lymphocytic Leukemia Complicating Autoimmune Polyglandular Syndrome Type 1 In Siblings Harrison 2018 Clinical Case Reports Wiley Online Library

Large Granular Lymphocytic Leukemia Complicating Autoimmune Polyglandular Syndrome Type 1 In Siblings Harrison 2018 Clinical Case Reports Wiley Online Library

T Cell Large Granular Lymphocytic Leukemia Involving The Liver And Spleen Springerlink

T Cell Large Granular Lymphocytic Leukemia Involving The Liver And Spleen Springerlink

Large Granular Lymphocyte An Overview Sciencedirect Topics

Large Granular Lymphocyte An Overview Sciencedirect Topics

Transient Large Granular Lymphocytosis

Transient Large Granular Lymphocytosis

Ppt Rheumatoid Arthritis Powerpoint Presentation Free Download Id 3376587

Ppt Rheumatoid Arthritis Powerpoint Presentation Free Download Id 3376587

Lymphoma Malignancy Of Lymphocytes Lymphocytes B Cells T Cells Nk Cells Natural Killer Cells Ppt Download

Lymphoma Malignancy Of Lymphocytes Lymphocytes B Cells T Cells Nk Cells Natural Killer Cells Ppt Download

Https Encrypted Tbn0 Gstatic Com Images Q Tbn And9gcsfehlfrd4tbnukbyxv W Mpncxh56vhvw I4fp1kco7iyr C1 Usqp Cau

Https Encrypted Tbn0 Gstatic Com Images Q Tbn And9gcsfehlfrd4tbnukbyxv W Mpncxh56vhvw I4fp1kco7iyr C1 Usqp Cau

Figure 1 From T Cell Large Granular Lymphocytic Lgl Leukemia Consists Of Cd4 Cd8dim And Cd4 Cd8 Lgl Populations In Association With Immune Thrombocytopenia Autoimmune Neutropenia And Monoclonal B Cell Lymphocytosis Semantic Scholar

Figure 1 From T Cell Large Granular Lymphocytic Lgl Leukemia Consists Of Cd4 Cd8dim And Cd4 Cd8 Lgl Populations In Association With Immune Thrombocytopenia Autoimmune Neutropenia And Monoclonal B Cell Lymphocytosis Semantic Scholar

06 Chronic Lymphoproliferative Neoplasms Clpn

06 Chronic Lymphoproliferative Neoplasms Clpn

Large Granular Lymphocyte On A Smear Medical Laboratories

Large Granular Lymphocyte On A Smear Medical Laboratories

2

2

Lymphocytosis In Adults All About Blood

Lymphocytosis In Adults All About Blood

Figure2 Peripheral Blood Smears Of T Lgl Leukemia Clpd Nk And Ankl Download Scientific Diagram

Figure2 Peripheral Blood Smears Of T Lgl Leukemia Clpd Nk And Ankl Download Scientific Diagram

Large Granular Lymphocytic Leukaemia Pathogenesis And Management Dearden 2011 British Journal Of Haematology Wiley Online Library

Large Granular Lymphocytic Leukaemia Pathogenesis And Management Dearden 2011 British Journal Of Haematology Wiley Online Library

Iccs Enewsletter

Iccs Enewsletter

Refining The Diagnosis Of T Cell Large Granular Lymphocytic Leukemia By Combining Distinct Patterns Of Antigen Expression With T Cell Clonality Studies Leukemia

Refining The Diagnosis Of T Cell Large Granular Lymphocytic Leukemia By Combining Distinct Patterns Of Antigen Expression With T Cell Clonality Studies Leukemia

Large Granular Lymphocyte Leukemia As A Complication Of Rheumatoid Arthritis Reumatologia Clinica

Large Granular Lymphocyte Leukemia As A Complication Of Rheumatoid Arthritis Reumatologia Clinica

Large Granular Lymphocyte With Azurophilic Cytoplasmic Granules Hematology Laboratory Science Immunology

Large Granular Lymphocyte With Azurophilic Cytoplasmic Granules Hematology Laboratory Science Immunology

Pathology Outlines T Cell Large Granular Lymphocytic Leukemia

Pathology Outlines T Cell Large Granular Lymphocytic Leukemia

Large Granular Lymphocyte

Large Granular Lymphocyte

Aggressive Variant Of T Cell Large Granular Lymphocyte Leukemia

Aggressive Variant Of T Cell Large Granular Lymphocyte Leukemia

Lgl Leukemia From Pathogenesis To Treatment Sciencedirect

Lgl Leukemia From Pathogenesis To Treatment Sciencedirect

Large Granular Lymphocyte Leukemia Disease Malacards Research Articles Drugs Genes Clinical Trials

Large Granular Lymphocyte Leukemia Disease Malacards Research Articles Drugs Genes Clinical Trials

2

2

Large Granular Lymphocytic Leukemia Ask Hematologist Understand Hematology

Large Granular Lymphocytic Leukemia Ask Hematologist Understand Hematology

Chronic Neutropenia In Lgl Leukemia And Rheumatoid Arthritis Abstract Europe Pmc

Chronic Neutropenia In Lgl Leukemia And Rheumatoid Arthritis Abstract Europe Pmc

Lymphocytosis And Lymphocytopenia Oncohema Key

Lymphocytosis And Lymphocytopenia Oncohema Key

Advances In The Diagnosis And Treatment Of Large Granular Lymphocytic Leukemia Springerlink

Advances In The Diagnosis And Treatment Of Large Granular Lymphocytic Leukemia Springerlink

Haematopathology An Introduction To Lymphoid Neoplasms

Haematopathology An Introduction To Lymphoid Neoplasms

Large Granular Lymphocyte 1

Large Granular Lymphocyte 1

Large Granular Lymphocyte Disorders Www Haematologyetc Co Uk

Large Granular Lymphocyte Disorders Www Haematologyetc Co Uk

1

1

Large granular lymphocyte LGL leukemia is characterized by a clonal proliferation of LGLs.

The large granular lymphocyte LGL syndrome and large granular lymphocytic leukemia LGLL are rare hematological disorders. Gaslini Università degli Studi di Genova. To assess whether the HLADR4 association found in rheumatoid arthritis RA is also seen in the large granular lymphocyte LGL syndrome. As a result their clinical implications remain largely unknown. Large granular lymphocyte LGL leukemia is characterized by a clonal proliferation of LGLs. Large granular lymphocyte LGL syndrome comprises a clonal spectrum of T-cell and natural killer NK-cell LGL lymphoproliferative disorders associated with neutropenia. This review presents advances in diagnosis and therapy of LGL syndrome. Transient Large Granular Lymphocytosis is a short-term increase in large granular lymphocyte numbers usually less than 6 months that may be seen in association with a variety of conditions including viral infections autoimmune disorders and non-lymphoid malignancies. However reports of LGL proliferations in primary Sjogrens syndrome pSS are extremely rare.


T-cell large granular lymphocyte leukemia causes a slow increase in white blood cells called T lymphocytes or T cells which originate in the lymph system and bone marrow and help to fight infection. Large granular lymphocyte LGL proliferations can be observed in some auto-immune disorders especially rheumatoid arthritis. Large granular lymphocyte leukemia LGL is a lymphoproliferative disorder marked by clonal expansion of large granular lymphocytes usually T. The large granular lymphocyte LGL syndrome and large granular lymphocytic leukemia LGLL are rare hematological disorders. 80521-525 EXPANSION OF LARGE GRANULAR LYMPHOCYTE SUBSETS IN WISKOTT-ALDRICH SYNDROME Alessandro Plebani Paolo Airò Duilio Brugnoni Morena Lebowitz Roberto Cattaneo Virginia Monafo Antonella Meini Luigi D. Large granular lymphocyte LGL leukemia features a group of indolent lymphoproliferative diseases that display a strong association with various autoimmune conditions. LGLs comprise 5 percent of the population of peripheral blood mononuclear cells are larger than most circulating lymphocytes and have characteristic azurophilic granules containing acid hydrolases picture 1.

Posting Komentar untuk "Large Granular Lymphocyte Syndrome"